Avoiding PSA test wasn’t worth the risk

Advertisement

Advertise with us

About 10 years ago, my doctor and I discussed whether I should begin getting regular PSA tests. I was in my early 50s and I had read several reports indicating that a man’s risk of developing prostate cancer increases with age.

Read this article for free:

or

Already have an account? Log in here »

To continue reading, please subscribe:

Monthly Digital Subscription

$1 per week for 24 weeks*

  • Enjoy unlimited reading on winnipegfreepress.com
  • Read the E-Edition, our digital replica newspaper
  • Access News Break, our award-winning app
  • Play interactive puzzles

*Billed as $4.00 plus GST every four weeks. After 24 weeks, price increases to the regular rate of $19.95 plus GST every four weeks. Offer available to new and qualified returning subscribers only. Cancel any time.

Monthly Digital Subscription

$4.99/week*

  • Enjoy unlimited reading on winnipegfreepress.com
  • Read the E-Edition, our digital replica newspaper
  • Access News Break, our award-winning app
  • Play interactive puzzles

*Billed as $19.95 plus GST every four weeks. Cancel any time.

To continue reading, please subscribe:

Add Free Press access to your Brandon Sun subscription for only an additional

$1 for the first 4 weeks*

  • Enjoy unlimited reading on winnipegfreepress.com
  • Read the E-Edition, our digital replica newspaper
  • Access News Break, our award-winning app
  • Play interactive puzzles
Start now

No thanks

*Your next subscription payment will increase by $1.00 and you will be charged $16.99 plus GST for four weeks. After four weeks, your payment will increase to $23.99 plus GST every four weeks.

Opinion

Hey there, time traveller!
This article was published 13/06/2023 (1057 days ago), so information in it may no longer be current.

About 10 years ago, my doctor and I discussed whether I should begin getting regular PSA tests. I was in my early 50s and I had read several reports indicating that a man’s risk of developing prostate cancer increases with age.

The prostate-specific antigen (PSA) test is a blood test that measures the presence of that antigen in the bloodstream. In almost all cases of prostate cancer, the PSA level has increased. A single PSA test can detect an elevated level, while regular testing can reveal if the level has increased since previous tests.

When I had the PSA test discussion with my doctor years ago, I was also aware of several news reports in which experts questioned the accuracy and necessity of PSA testing. Indeed, the Mayo Clinic website has a webpage devoted to whether a man should get a PSA test.

It says that “Cancer screening tests — including the prostate-specific antigen (PSA) test to look for signs of prostate cancer — can be a good idea. Prostate cancer screening can help identify cancer early on, when treatment is most effective. But it isn’t perfect. Some men may find that the downsides of prostate cancer screening outweigh the potential benefits.”

It adds that, “Ultimately, whether to have prostate cancer screening is something you should decide after discussing it with your doctor, considering your risk factors and weighing your personal preferences.”

The web page then lists what it describes as the “pros and cons” of prostate cancer screening. The “cons” include the concern that “PSA tests aren’t foolproof”, that “some prostate cancers are slow growing and never spread beyond the prostate gland,” that “not all prostate cancers need treatment”, and “a diagnosis of prostate cancer can provoke anxiety and confusion.”

My doctor ordered a PSA test, and it revealed that my level was within the normal range for my age. Based on that result, the fact that I had no family history nor symptoms of prostate cancer, and the reports suggesting that PSA tests may not be worthwhile, we agreed to not continue testing for PSA.

Ten years later, I now know that decision was a terrible mistake. My former doctor retired and my new doctor ordered a PSA test this spring. The number came back very high for my age. I was referred to a specialist, who then ordered a biopsy. I was told the results of that biopsy testing a few days ago.

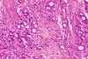
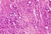
I have prostate cancer.

It’s serious and, because I went a decade without PSA testing, I have no idea how long it has been growing inside me.

I also don’t know if the cancer has spread elsewhere in my body. I will be doing tests in the next few days to try to answer that question.

If the cancer has spread, I will be in deep trouble. Well, deeper than the trouble I am already in.

The specialist I am now seeing is in the process of scheduling the surgery to have my prostate removed. That will have life-changing consequences for me and my family, but it appears to be the best (and perhaps only) option to prevent this cancer from killing me — and that’s assuming it hasn’t spread elsewhere.

As I tell you about this, it seems so simple, and so stupid.

I should never have stopped getting PSA tests as part of my regular physical exams. I was getting my blood tested for cholesterol anyway, so there was no reason to not also have it tested for PSA.

In hindsight, and from my new, biased perspective as somebody with prostate cancer, the life-and-death argument in favour of regular PSA testing far outweighs the reasons for not getting them.

Really, who could credibly argue that a person is better off not knowing they have cancer?

I often give advice to politicians, but today I have advice for men: get a PSA test done, and keep getting them done on a regular basis.

Don’t be like me, because you don’t want to end up like me.

Deveryn Ross is a political commentator living in Brandon.
deverynrossletters@gmail.com
Twitter: @deverynross

Report Error Submit a Tip

Analysis

LOAD MORE